Inicio - Carrusel Promocional
Nosotros
La IPS TRANSALIM LTDA tiene como propósito brindar servicios de imágenes diagnósticas, respaldados con una tecnología moderna y un personal competente, asegurando eficacia y eficiencia en todas sus actividades
Posicionar a Transalim en la Región como el centro de imágenes diagnosticas de mayor prestigio y calidad en servicios de imagenología.
IPS TRANSALIM, es una IPS dedicada a brindar servicios de imágenes diagnósticas de baja y mediana complejidad, apoyándose de un personal competente y una infraestructura optima que proporciona una atención integral con seguridad y calidad, comprometiéndose a proporcionar condiciones de trabajo seguras y saludables para prevenir lesiones y deterioros en la salud de los colaboradores, así mismo comprometida con el cumplimiento de requisitos legales aplicables, con acciones para eliminar los peligros y reducir los riesgos relacionados a la seguridad y salud en el trabajo, adicionalmente comprometiéndose a garantizar la participación y consulta de todas las partes interesadas y la mejora continua de sus sistema integrado de gestión bajo los lineamientos de las normas NTC ISO 9001: 2015, 45001:2018.
Política Tratamiento de Datos Personales
Año 2024
Año 2025
Garantizar la calidad en la prestación de los servicios ofrecidos, orientados a satisfacer las necesidades de los grupos de interés, con un enfoque en la seguridad y salud del personal y seguridad del paciente, cumplimiento los requisitos exigidos por la normatividad.
Gestionar y minimizar los riesgos inherentes en la realización de actividades y procesos y los peligros para la salud e integridad de los trabajadores y pacientes, buscando una integralidad en la mejora del servicio.
Asegurar la disponibilidad de todos los recursos humanos, financieros y de infraestructura necesarios para el adecuado funcionamiento de todos los procesos, buscando el crecimiento sostenible de TRANSALIM.
Recopilar y analizar los datos de información que permita eliminar las causas y las consecuencias de no conformidades, servicios no conformes, eventos adversos y disminución en la ocurrencia de incidentes y accidentes de trabajo, y aparición de enfermedades laborales, permitiendo así establecer un seguimiento y control adecuado.
En TRANSALIM Centro de Especialistas, creemos que un paciente bien informado es un paciente más seguro y tranquilo. Por eso, compartimos contigo esta información útil sobre los estudios de ecografía y rayos X, sus beneficios y recomendaciones básicas.
Todos nuestros procedimientos cumplen con estándares de calidad, seguridad y ética médica. Nuestros especialistas están capacitados para brindarte una atención confiable, humana y profesional.
PERSONAL
CONVENIOS
SERVICIOS
Rayos X
Es un examen diagnóstico que permite generar imágenes del interior del cuerpo empleando radiación ionizante (ondas electromagnéticas de gran potencia conocidas también como rayos X).
Para realizar una radiografía, el paciente debe ubicar entre una fuente y un detector de rayos X la parte del cuerpo que se va a evaluar. Esto permitirá que las ondas atraviesen la piel y se generen imágenes de los tejidos internos y las estructuras del cuerpo. Por lo general no hace falta preparación especial.
Debe llevarse ropa cómoda, fácil de quitar y evitar el uso de joyas.
Ecografía
Es una prueba diagnóstica que utiliza ondas sonoras de alta frecuencia. Cuando estas ondas hacen contacto con los órganos y tejidos, son procesadas por un equipo que genera las imágenes de la zona explorada.
Normalmente se realiza a través de la piel, en la cual se aplica un gel acuoso, este entra en contacto con un instrumento llamado transductor que el médico radiólogo desplaza por la zona estudiada para observar en un monitor las imágenes generadas. Esta prueba no emplea radiación ionizante, no genera efectos secundarios, es de corta duración y de fácil acceso en la mayoría de las instituciones de salud.
Para la realización de ecografías de próstata o ginecológicas, es necesario introducir un transductor especial en el recto o la vagina. Existe también un tipo de ecografía llamada Doppler que brinda la posibilidad de estudiar ciertas estructuras del cuerpo como los vasos sanguíneos.
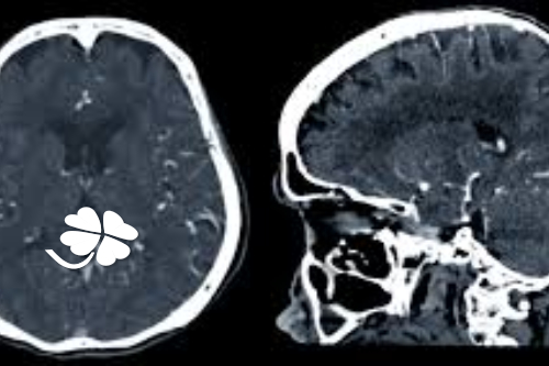
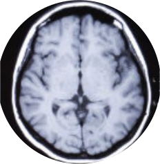
Tomografía
Es un procedimiento diagnóstico que utiliza un equipo especial de rayos X para crear imágenes radiográficas en secciones de la zona estudiada y/o imágenes tridimensionales de los órganos y la estructura corporal.
Durante el estudio, que dura aproximadamente 15 minutos, el paciente permanece inmóvil sobre una camilla. Esta se desplaza lentamente a través de un aro que la rodea y realiza progresivamente la adquisición de las imágenes.
Permite analizar detalladamente las estructuras internas de las distintas partes del organismo. Esto facilita el diagnóstico de fracturas, hemorragias, tumores, malformaciones, infecciones, entre otros.
Los riesgos están relacionados con la exposición a rayos X, la cual es mayor que en estudios de radiología convencionales por el tiempo que toma. En el caso de mujeres embarazadas solo debe realizarse bajo estricta orden médica.
Mamografía
Es una exploración específica para la mama que se realiza mediante el uso de rayos X. Se utiliza para evaluar un síntoma particular relacionado con el seno o la mama como: dolor, secreción, sensación de masa, hinchazón y cambios en la piel.
En mujeres mayores de 40 años se realiza como método de tamizaje para detección temprana del cáncer de mama.
Cada mama se ubica en un soporte perpendicular al tubo de rayos X del mamógrafo y se realiza una compresión sobre la misma; esto puede generar alguna molestia pero es indispensable para obtener una imagen nítida de los tejidos.
Es un estudio que no implica mayores riesgos ya que utiliza bajas dosis de radiación ionizante, salvo en el caso de mujeres embarazadas, quienes no deben realizarse una mamografía a menos que su médico así lo indique.
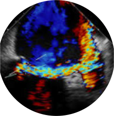
Doppler a Color
Tipo de ecografía que permite evaluar el flujo sanguíneo en arterias y venas, detectando obstrucciones, coágulos o problemas circulatorios con representación visual en color.
Densitometría
Es un examen que utiliza bajas dosis de radiación para observar un área determinada del cuerpo en búsqueda de señales de pérdida de minerales o debilitamiento óseo.
Permite medir la densidad ósea de una persona o la cantidad de minerales en sus huesos. Mientras menor sea la densidad de un hueso, mayor será el riesgo de sufrir fracturas, por lo cual es un estudio eficaz para diagnosticar la osteoporosis y enfermedades similares que generan pérdida ósea.
Acostado boca arriba en una camilla, el paciente es expuesto a bajas dosis de rayos X para obtener imágenes especiales de los huesos.
Equipo Profesional
Agendamiento y Citas
Ecografía Abdominal: Asistir en ayuno de seis (6) horas y con la vejiga llena.
Ecografía Higago: Asistir en ayuno de seis (6) horas.
Ecografía Vías Biliares: Asistir en ayuno de seis (6) horas
Ecografía Vías Urinarias: Asistir con vejiga llena.
Ecografía Prostata: Asistir con vejiga llena.
Ecografía Pélvica: Asistir .con vejiga llena.
Ecografía Transabdominal: Asistir con vejiga llena.
Se puede solicitar a través del correo citas@transalim.com.co, la cual será asignada en un tiempo de 1 a 5 días hábiles entre Lunes a Viernes.
Respetado paciente para esta cita se debe tener la autorización y número del caso y se puede agengar en el siguiente Chat.

